ОрГМУ представил программу для раннего выявления аномалий у плода
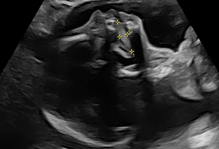
Учёные Оренбургского государственного медицинского университета разработали программу для расчёта рисков аномалий челюстно-лицевой области у плода на основе данных УЗИ. Авторами стали профессор Елена Луцай и ассистент Татьяна Алексеева.
Программа анализирует параметры языка и черепа плода по оригинальной шкале, помогая объективизировать диагностику. Разработка призвана дополнить стандартные скрининги, что позволит раньше выявлять возможные отклонения.
По словам учёных, методика поможет гинекологам, неонатологам и педиатрам в работе.
Фото: пресс-служба оренбургского государственного медицинского университета











































































