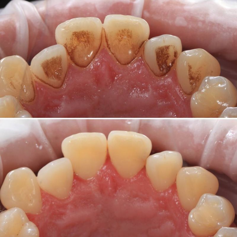
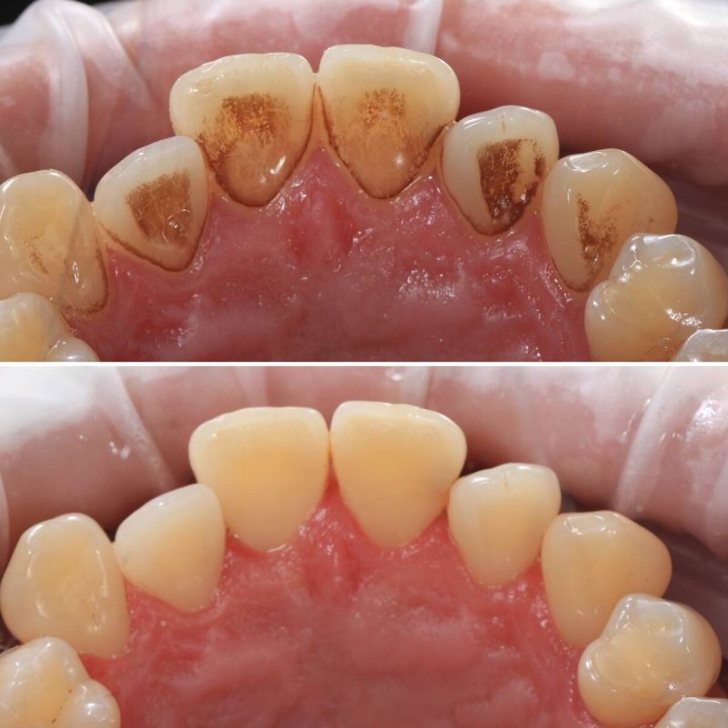
Желтый или темный налет на зубах — это не просто косметическая проблема, а сигнал финансовой несостоятельности здоровья ротовой полости. Причины этого явления могут быть многообразными, включая курение, кофе и чай, а также пигменты из пищи, которые со временем окрашивают зубную эмаль, пишет канал "Иннова Клиник".
Причины образования налета
- Курение и употребление красящих напитков, таких как кофе и черный чай, создают идеальные условия для формирования налета, поскольку эмаль зубов становится более восприимчивой к пигментам.
- Неправильная гигиена ротовой полости — если чистка зубов не проводится хотя бы два раза в день, налет не только накапливается, но и может превратиться в dental calculus, что требует профессионального вмешательства.
Профилактика и уход
Правильная гигиеническая практика помогает поддерживать зубы в чистоте. Регулярная чистка, использование флоссов и специализированных зубных паст способствуют значительному уменьшению налета. Кроме того, рекомендуется проходить профессиональную гигиену полости рта не реже одного раза в полгода, что поможет сохранить здоровье зубов и их естественный цвет.
Запишитесь на консультацию
Если налет уже стал вашей проблемой, пора действовать. Узнайте больше о ходе лечения и профилактики у профессионалов. Записаться на консультацию можно по телефону +7(8352) 70-97-91 или через чат нашего ресурса.




























